「結果がすべて」
医療人としての責任
人としての優しさ
先端機器の導入
これまで積み重ねてきた実績
どれも大切なこと。
しかし、患者さんが
本当に求めているのは、
「良くなった」という結果。
結果で示せない医療に、
存在価値はありません。




1本18万円(税込19.8万円)
次の特徴あり
片顎160万円(税込176万円)
次の特徴あり
2つの医院で治療を受けられます。
愛知・岐阜・三重から多く来院
たくさんの評価をいただいています





その日のうちに治療計画(お見積もり)をお出しします!
相談+CT+診断=0円
| 価格重視 | バランス重視 | 品質/保証重視 | |
|---|---|---|---|
| メーカー | ネオデント | ストローマン | ストローマン |
| 人工歯 | ハイブリッドセラミック | ハーフプレミアムジルコニア | フルプレミアムジルコニア |
| 治療費総額 | 合計180,000円(税込196,000円) | 合計380,000円(税込418,000円) | 合計480,000円(税込528,000円) |
| デンタルローン | 月々3,000円〜 | 月々3,900円〜 | 月々5,000円〜 |
※各種オプションは含みません。
※デンタルローンは、金利4.8%、最大分割回数120回で計算しています。ただし金額はあくまで目 安であり、ご利用開始日の条件などによりご返済回数、最終返済額が増減することがあります。
| 価格重視 | 品質重視 | |
|---|---|---|
| 人工歯 | ![]() | ![]() |
| 材質 | 硬質レジン(プラスチック) 歯科用プラスチック素材。費用を抑えられるのが最大のメリット。吸水性があるため経年で変色(黄ばみ)しやすく、摩耗もしやすい。 | セラミック(陶器) 天然歯のような透明感と白さが持続。表面が滑らかで汚れ(細菌)が付きにくい。陶器の特性上、極稀に強い衝撃で割れることがある。 |
| 治療費総額 | 合計160万円(税込176万円) | 合計250万円(税込275万円) |
| デンタルローン | 月々16,800円〜 | 月々26,200円〜 |
※各種オプションは含みません。
※デンタルローンは、金利4.8%、最大分割回数120回で計算しています。ただし金額はあくまで目 安であり、ご利用開始日の条件などによりご返済回数、最終返済額が増減することがあります。
チーム
だからこそ
できること
がある。

Dr.総勢
9名
日本口腔インプラント学会 認定医2名
日本歯科麻酔学会 認定医

医療法人オリエンタル 理事長
インプラント認定医
「結果がすべて」
医療人としての責任
人としての優しさ
先端機器の導入
これまで積み重ねてきた実績
どれも大切なこと。
しかし、患者さんが
本当に求めているのは、
「良くなった」という結果。
結果で示せない医療に、
存在価値はありません。
動画メッセージ















愛知県名古屋市/海部郡にある、インプラント、オールオンフォー(All-on-4)専門の歯医者、医療法人オリエンタル(名古屋駅前ファースト歯科/あまファースト歯科)。噛めない入れ歯に長年悩まれている方、ブリッジ治療を繰り返し、将来に不安を感じている方、他院でインプラント治療を断られた方、過去のインプラント治療が失敗してしまった方、持病がありインプラントを諦めている方、虫歯や歯周病で歯がボロボロになってしまった方、事故や外傷で歯を失い、治療方法に迷われている方へ。当院には、インプラント治療やオールオン4治療を求めて、名古屋市、海部郡大治町をはじめ、あま市、蟹江市、中村区、中川区など広い地域から多くの患者さんが来院されています。セカンドオピニオンとしてのご相談も歓迎しています。
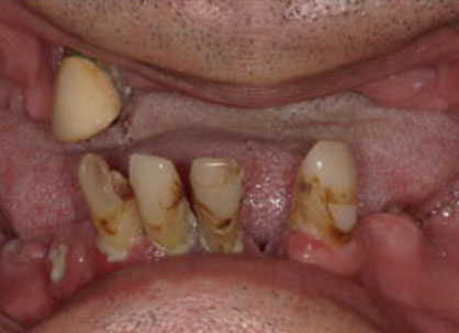
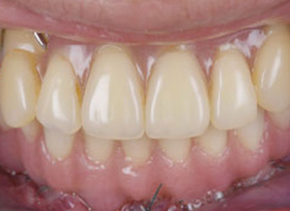
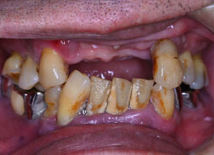
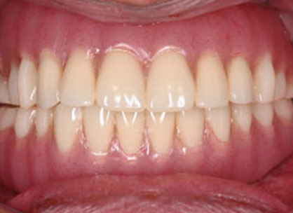
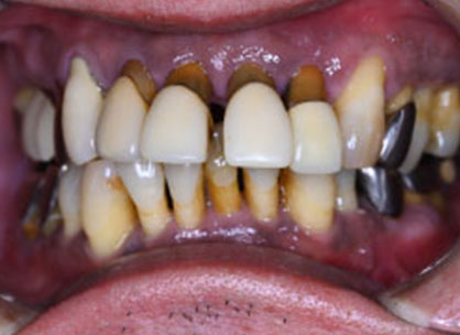
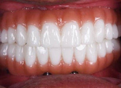
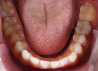
患者さんに合った自然な色合い、大きさ、形を分析し、デジタル化された院内技工室で歯を製作。見た目も劇的に変わります。
※写真中央のスライダーを左右にドラッグして画像を比較できます



静脈内鎮静法を行うことで、ほぼ寝ている状態で治療を行うことができます。そのため、痛みや恐怖心なく治療を終えられます。
このような方におすすめです

当院はAll-on-4®開発者のパウロ・マロ教授によって設立された「マロ・デンタル」と提携しています。 根拠に基づいた最新のAll-on-4を提供できる環境があります。

愛知県名古屋市/海部郡にある、インプラント、オールオンフォー(All-on-4)専門の歯医者、医療法人オリエンタル(名古屋駅前ファースト歯科/あまファースト歯科)。安心して治療に臨んでいただくため、専用オペ室、10年保証、歯科技工士による立会、治療後のインプラント周囲炎を防ぐメンテナンスを行っています。
クレジット、デンタルローンに対応。

デンタルローンは最大120回までの分割にも対応しています

※デンタルローンを活用した場合
※デンタルローンは金利4.8%で120回の分割支払いを想定

※デンタルローンを活用した場合
※デンタルローンは金利4.8%で120回の分割支払いを想定
無料相談
セカンドオピニオン対応
あなたの不安、
どうかそのまま話しください。
「本当に良くなるのだろうか」
「費用は、どのくらいかかるのか」
「今の自分でも治療できるのか」
「体への負担は大丈夫なのか」
そんな思いを、一人で抱え続ける必要はありません。
治療の話ではなく、
まずは、あなたのお話を聞かせてください




〒453-0015
愛知県名古屋市中村区椿町15番10号
| 診療時間 | 月 | 火 | 水 | 木 | 金 | 土 | 日 | 祝 |
|---|---|---|---|---|---|---|---|---|
| 10:00 ~ 13:30 | ● | ● | ● | ● | ● | ● | / | ★ |
| 14:30 ~ 19:30 | ● | ● | ● | ● | ● | ▲ | / | ★ |
▲土曜は午後14:30-18:00
★祝日休診する場合あり

〒490-1137
愛知県海部郡大治町堀之内大堀170-3
| 診療時間 | 月 | 火 | 水 | 木 | 金 | 土 | 日 | 祝 |
|---|---|---|---|---|---|---|---|---|
| 10:00 ~ 13:00 | ● | ● | ● | ● | ● | ● | / | ★ |
| 14:30 ~ 19:30 | ● | ● | ● | ● | ● | ▲ | / | ★ |
▲土曜は午後14:30-18:00
★祝日休診する場合あり
愛知県名古屋市/海部郡大治町にある、インプラント、オールオン4(All-on-4)専門の歯医者、医療法人オリエンタル(名古屋駅前ファースト歯科/あまファースト歯科)。当法人は5000症例以上のインプラント/オールオン4治療を行っています。日本口腔インプラント学会認定医や大学病院レベルの環境(オペ室、CT)により高い成功率を誇っています。また価格重視の安い価格帯の他、様々な料金体系もご用意しています。インプラント治療やオールオン4治療を求めて、名古屋市、海部郡大治町をはじめ、あま市、蟹江市、中村区、中川区など広い地域から多くの患者さんが来院されています。セカンドオピニオンとしてのご相談も歓迎しています。