インプラントとは

WEB予約

電話予約

LINE相談

WEB予約

電話予約

LINE相談

キービジュアル
年間800症例/累計5000本以上

成功率99%
インプラント認定医2名在籍
1本18万円(税込19.8万円)

  • 1日で噛める術式
  • 骨不足にも対応
  • 寝ている間に手術が終わる
  • 大学病院レベル専用オペ室
東海地方トップクラスの実績で、
安心・正確なインプラント治療をご提供

インプラントは自分の歯のように「噛める」

インプラント治療は、失った歯を補い、見た目と噛む機能の両方を回復させる補綴(ほてつ)治療の一つです。
あごの骨にチタン製のインプラント体を埋め込み、その上に人工歯を装着します。骨としっかり結合することで、天然歯に近い自然な見た目噛み心地を再現できるのが特長です。

歯を失った場合の治療法には、「入れ歯」や「ブリッジ」もありますが、残っている歯に負担がかかる構造になってしまいます。また、天然歯と比べると、噛み心地の違和感はなかなか拭えません。

一方で、インプラントは周囲の歯に依存せず、あごの骨に直接固定する独立した構造です。しっかりと固定されるため、ぐらつきが少なく、天然歯に近い安定感が得られます。

豆知識インプラントと「チタン」の相性は抜群

インプラントの骨に埋め込む部分は、「チタン」と呼ばれる金属で作られていることが多いです。チタンには骨と直接結合する性質があり、あごの骨に埋入すると強く固定されるのが大きな特長です。

さらに、チタンは生体親和性が高く、アレルギー反応が起こりにくい素材とされています。強度や耐久性にも優れているため、長期間にわたって安定した状態を保ちやすい点もメリットです。

このように、骨との結合性・安全性・耐久性に優れていることから、インプラントの素材としてチタンが広く採用されています。

「長期間」安定して使えるインプラント

インプラントは、適切なケアを継続することで10年以上使用できる治療法です。実際に、世界で初めて実用化されたインプラント(Nobel Biocare社製)が40年以上機能し続けたという報告もあります。

一方で、メンテナンスが不十分だと、「インプラント周囲炎」と呼ばれる、歯周病によく似た症状を引き起こすリスクが高まります。これはインプラントの寿命に影響するため、日々のセルフケア定期的なメンテナンスが欠かせません。

インプラントがおすすめな方

次のような方には、インプラント治療をご提案しています。

① 入れ歯やブリッジ治療を避けたい

インプラントは、あごの骨に金属の支柱を埋め込み、その上に人工の歯(上部構造)を取り付ける治療です。本来の歯と同じように一本一本が独立して固定されて、骨と結合しているため、グラつく心配も少なく噛み心地も自然です。

入れ歯、特にブリッジでは周囲の健康な歯を削る必要があるなど、他の歯への負担は避けられません。

見た目や噛み心地も天然歯に近く、かつ残っている自分の歯を守りたいという方におすすめです。

② あごの骨が十分にある人

インプラントは、あごの骨を土台として固定する治療です。十分に骨の量が確保できていれば、基本的に治療が可能であり、満足できる噛み心地が期待できます。


もし骨量が不足していても、当院では「骨造成」と呼ばれる治療法で対応できる場合があります。さらに後述する「サイナスリフト」や「ソケットリフト」といった高等技術を要する治療も可能です。

「骨が少ない」と診断されてインプラントを諦めていた方も、まずは当院にご相談ください。

難症例への対応について、詳しくはこちらをご覧ください。

③ 日々の口腔ケアを実践できる

インプラントは治療して終わりではなく、その後の口腔ケアが欠かせません。
歯磨きなど、日ごろのセルフケアに加え、歯科医院で定期的なメンテナンスを受けることが重要です。十分なケアを怠ってしまうと、「インプラント周囲炎」を発症し、最悪の場合はインプラントが脱落してしまいます。


逆に言えば、適切なケアを継続することで、インプラントは10年以上使える見込みが高く、多くのメリットがある治療法といえます。

当院のインプラント治療の「特長」

当院では、安全かつ正確なインプラント治療を目指し、万全の治療体制を整えております。

東海地方トップクラスの実績があります

インプラント治療は外科処置を伴うので、決して簡単な治療ではありません。そのため、信頼できる歯科医院での治療が大切になります。「良い医院」の定義は様々だと思いますが、「実績」は1つの指標になります。

✅累計5000本以上の実績
✅年間800本以上の実績
✅成功率99.9%

また当院ではインプラントスペシャリストに与えられる「国際口腔インプラント学会認定医」が2名在籍しています。

1本18万円のプランあり/相談+CT撮影=0円

当院のインプラントは患者さんのご要望に合わせ3パターンの料金体系があります。どれも世界的に評価されているインプラントメーカーになります。また、通常はCT撮影や診断を行う場合、費用が掛かりますが。当院では治療に入る前までは一切費用は掛かりません。つまり、相談+CT撮影+診断は0円になります。

「インプラント専用オペ室」完備

当院では、一歯科医院としては珍しい「インプラント専用オペ室」を設けています。もちろん完全個室ですので、周囲の目を気にすることなく手術を受けることができます。

また、「オペ用ライト無影灯)」も完備されています。医療用LEDで正確な色を認識できるほか、術部をくっきり見やすく照らすように設計されているため、手術効率が向上します。
さらに、術後の治癒を促進する「酸素ルーム」も併設しております。

大学病院に匹敵するレベルの設備環境が整っていることも、当院の治療成功率を高く維持できている理由の一つです。

インプラント「専任カウンセラー」

当院では、インプラント治療のスペシャリストが集まり、チーム医療の体制を整えております。なかでも、治療に対して不安や疑問がある場合は、インプラントの「専任カウンセラー」にご相談ください。

もちろん、医師の誰もが答えられる状態であることを心掛けております。そのうえで、専任カウンセラーがいることによって、手術前の緊張や、医師に直接話しづらいことなど、親身に患者さんの相談に乗ることができるのです。

ハイテクな「精密機器」を活用

当院では、治療の安全性と精度を高めるため、数多くの精密機器を導入しています。以下では、それぞれの機器についてご紹介します。

セファロ付き歯科用CT

従来のレントゲンは、一方向からの平面的な撮影に限られます。しかし当院では、歯科用CTを導入し、立体的な3次元撮影が可能です。
これにより、歯の状態だけでなく、歯茎の内部にある骨の形態や骨量、歯根の状態まで高画質・高精細な画像で確認できます。
インプラント治療に限らず、重度の歯周病治療、親知らずの抜歯など、安全性と精度が求められる処置において大きな役割を果たします。

さらに、「セファロ」撮影の機能も備えいます。顔の骨格バランスを詳細に分析することで、最適な噛み合わせを導き出すことができます。

当院では、CT撮影のために別途料金をいただくことはありません

コンピュータシミュレーション

CTで撮影したデータをコンピューターに取り込み、専用の「シミュレーションソフト」を用いてインプラント手術の計画を作成します。

インプラントのサイズや、埋め込む位置・角度・深さなどを、デジタル状で緻密に再現し、シミュレーションをすることで、手術の効率や正確性を高めます。神経や血管を傷つけるリスクも抑えられるので、より安全な手術が可能になります。

サージカルガイド

シミュレーションソフトで導き出したデータをもとに、「サージカルガイド」を製作します。サージカルガイドは、要所に穴が開いているマウスピース型の手術補助装置です。


手術時には患者さんのお口に装着し、その穴に沿ってドリルやインプラント体を挿入していきます。これにより、事前のシミュレーション通りの位置・深さ・角度で正確に埋入することが可能です。

人為的な誤差を減らすことで、より安全で正確なインプラント埋入手術を実現します。

CAD/CAMシステム

CAD/CAMシステム」を活用すれば、セラミックの詰め物や被せ物をコンピューター上で設計し、専用の加工機で削り出して製作までを行うことができます。

他の多くの歯科医院と異なり、当院では院内に歯科技工室を設置して歯科技工士が常駐しています。CAD/CAMシステムをうまく活用することで、より早く、精巧な詰め物や被せ物を提供することができます。

ピエゾサージェリー

ピエゾサージェリー」は、インプラント治療で「骨造成」がに次要になる際に使用する機器です。


超音波振動によって組織を切開することができ、骨などの硬い組織にのみ作用する特徴があります。歯茎や血管といった柔らかい組織を傷つけにくく、術後の回復が比較的早いことがメリットです。

手術当日から噛める「抜歯即時荷重」

一般的なインプラント治療では、まず抜歯を行い、傷口が治癒して骨の状態が安定するまで一定期間待つ必要があります。場合によっては、歯がない状態が数か月続くこともあり、見た目や噛む機能の面で不便を感じることがあります。

一方、「抜歯即時荷重」は、抜歯と同時にインプラントを埋入し、仮歯まで装着する術式です。症例によっては骨造成や大きな切開を回避でき、治療期間や通院回数の短縮につながります

ただし、すべての方に適応できるわけではありません。精密な検査と診断のうえで、適応の可否を慎重に判断します。

切らない・縫わない・腫れない「フラップレス」

一般的なインプラント手術では、歯茎を切開するため、術後に痛みや腫れが生じることがあります。当院では、こうした負担を軽減する「フラップレス」手術に対応しています。


フラップレス手術では、メスで切開せず、「歯肉パンチ」という専用器具で歯茎に小さな穴をつくり、そこからインプラントを埋入します。切開範囲が最小限に抑えられるため、術後の痛みや腫れ、出血のリスクを軽減しやすく、基本的に縫合や抜糸も不要です。

できるだけ身体への負担を抑えたい方にとって、有効な方法の一つです。


※骨症例によっては切開が必要になる場合があります。
一般的な術式
フラップレスインプラント
歯茎の切開
必要
不要
処置後の縫合
必要
不要
痛み
ある
少ない
腫れ
ある
少ない
処置時間
比較的長い
10分程度

痛みや恐怖を感じない「静脈内鎮静法」

インプラント治療では「外科治療」が必要になります。
どうしても手術が恐いという方には、「静脈内鎮静法睡眠無痛治療)」をご提案しています。

点滴から鎮静薬を投与すると、ものの数分でほぼ睡眠状態になります。これによって、手術中の痛みや音、振動などを感じることはありません。この方法で手術を受けた患者さんは「気づいたら終わっていた」という方がほとんどです。

当院に在籍する、日本歯科麻酔学会「認定医」の歯科麻酔科医師が担当しますので、安心して受けていただけます。

信頼の「インプラントメーカー」を採用

世界各国に100以上もあるとされるインプラントメーカーのなかから、骨との結合性などさまざまな面を考慮して、当院では次のメーカーを採用しています。

ストローマン

ストローマン」は、世界的にトップレベルのシェアを誇るインプラントメーカーです。豊富な臨床データと長年の研究実績があり、信頼性の高いシステムとして広く採用されています。

インプラント体のサイズ展開が豊富で、比較的コンパクトな設計にも対応しているため、日本人の骨格にも適しているとされています。

また、スイス・ベルン大学の臨床研究では、手術の成功率が約97%残存率が約98%と報告されています。高い安全性と長期的な安定性が期待できるインプラントシステムです。

ノーベルバイオケア



ノーベルバイオケア」は、インプラント治療の基礎を築いたブローネマルク博士の研究をもとに、1960年代から世界初の商業用インプラントを展開してきたメーカーです。


長年にわたる研究開発と豊富な臨床データを背景に、科学的根拠に基づいた高い信頼性を確立しています。その実績から、現在も世界中の歯科医師に選ばれ続けているインプラントシステムです。




コラムインプラント、入れ歯、ブリッジの比較

ここで、「インプラント」「入れ歯」「ブリッジ」についてさまざまな視点から比較検証してみましょう。

① 噛みやすさ

インプラント
入れ歯
ブリッジ
天然歯の噛む力を100%とした場合、インプラントは約90%と最も高く、ブリッジが約70%、入れ歯が約20%とされています。

② 「フィット感」比較

インプラント
入れ歯
ブリッジ
インプラントは顎の骨に人工歯根を埋め込み、その上に人工歯を装着するため、天然歯に近い使用感を得ることができます。入れ歯は異物感を感じることが多く、嘔吐反射を引き起こす患者さんもいます。また、総入れ歯を長期間使用すると、ズレや痛みを感じやすくなります。ブリッジは、失った歯の両隣を支柱として支えるため、安定性が高く、違和感や痛みをほとんど感じることがありません。

③ 「ケアのしやすさ」比較

インプラント
入れ歯
ブリッジ
インプラントは、歯ブラシやフロスによる手入れが可能で、天然歯と同じようなケアができます。ブリッジの場合は、天然歯との隙間に食べかすが詰まりやすく、歯ブラシが届きにくいです。入れ歯は、専用のブラシと洗浄剤が必要で、毎食後に取り外してケアをする必要があります。

④ 「周囲の歯への影響」比較

インプラント
入れ歯
ブリッジ
インプラントは、周囲の歯に負担をかけません。総入れ歯は粘膜を支えにするので周囲の歯に影響を与えませんが、部分入れ歯は健康な歯にクラスプと呼ばれるバネをかけるので支えとなる歯に大きな負担がかかります。ブリッジは、欠損した歯の両隣の歯を大きく削って支柱にする治療なので支えとする歯に大きなダメージを与えます。

⑤ 「見た目の美しさ」比較

インプラント
入れ歯
ブリッジ
インプラントは、歯の色や形を選ぶことが可能なためあなたらしい美しさを表現できます。ブリッジや入れ歯は保険適用内の治療では銀歯や金属部品が使われ、目立ちやすくなります。天然歯に近い見た目を追求する場合は保険適用外の素材を使用する必要があります。

⑥ 「費用」の比較

インプラント
入れ歯
ブリッジ
インプラント治療は保険が適用されないため、全額自己負担となり、他の治療に比べて高額になります。一方、入れ歯やブリッジは保険適用内であれば、比較的低コストで治療を受けることができます。しかし、見た目や機能性を重視したい場合、保険適用外の治療を選ぶことが望ましいのですが、その分費用が増えます。

⑦ 「手術の必要性」比較

インプラント
入れ歯
ブリッジ
必要
不要
不要
インプラントは顎の骨に人工歯根を埋め込むため手術が必要ですが、歯をしっかりと固定できるため、安定した噛み心地が得られる点が特長です。 入れ歯やブリッジは外科手術を行わずに治療が可能ですが、装着方法や噛み心地には違いがあります。

⑧ 「耐久性」比較

インプラント
入れ歯
ブリッジ
インプラントは、治療後に定期的なメンテナンスを続けることで、10年以上の利用し続けられます。入れ歯は約3年で損傷が生じることが多く、5年ごとに作り直すことが推奨されています。ブリッジは入れ歯よりも長持ちすることが多いですが、支柱として使われた歯は他の歯に比べて虫歯になりやすく、折れやすいというリスクがあります。

インプラント症例集

当院で行ったインプラント症例を紹介します。

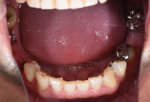
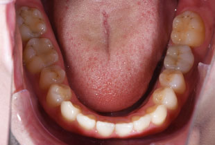
CASE①インプラント1本

  • 治療前
  • 治療後
虫歯で歯を抜くことになった。そのほかの歯は綺麗だから違和感がないように治療したい。(治療期間:3か月)

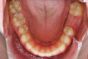
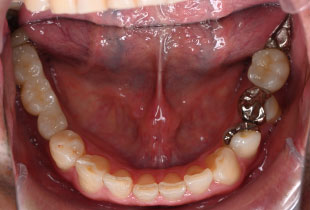
CASE②インプラント1本

  • 治療前
  • 治療後
入れ歯を使用していたが手間に感じ、インプラント治療希望。(治療期間:3か月)

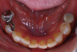
CASE③インプラント1本

  • 治療前
  • 治療後
片側の奥歯が無く、硬い食べ物が食べにくかった。(治療期間:3か月)

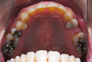
CASE④インプラント3本

  • 治療前
  • 治療後
入れ歯を使っているがご飯が食べづらく、食べれるものを制限してしまっている。(治療期間:3か月)

治療の流れ

STEP①カウンセリング

最初に、患者さんとのカウンセリングを行います。インプラント治療に関するご希望や心配事、疑問点について、どうぞ気軽にお聞かせください。どんな些細なことでも、誠実にお応えします。

STEP②検査と診断

患者さんのお口の健康状態を詳しく把握するために、CTレントゲンを使用して精密に検査を行います。この過程によって、抜歯即時荷重が適しているかどうか、さらに手術前に骨造成が必要かを見極めます。もしインプラント治療が適さない場合は、無理に進めずに別の治療法をご提案いたします。

STEP③治療方法の説明

検査の結果、インプラント治療が適していると診断された場合、詳細な治療計画をご説明いたします。インプラント治療のメリットや、考慮すべきリスクについても丁寧にお話ししますのでご安心ください。そのうえで疑問や不安がございましたら、遠慮なくご相談ください。

STEP④虫歯・歯周病の治療

虫歯歯周病が見つかった場合は、まずその治療を行い、お口の健康を整えることが大切です。この手順を踏むことで、インプラント治療の成功率がさらに向上します。

STEP⑤インプラント手術

いよいよインプラントを埋め込む手術です。手術の所要時間は埋入本数やお口の状態により異なりますが、当院の場合だと、1〜3本のインプラントなら約1時間で完了します。
抜歯即時荷重インプラントの場合は、この後当日中に仮歯を取り付けます。

STEP⑥回復の期間

手術後は、インプラントが骨としっかり結合するまでの時間が必要です。個人差はありますが、通常4ヶ月ほどかかります。

STEP⑦上部構造の装着

インプラントがしっかり骨と結合したら、次に人工歯(上部構造)を取り付けます。最後に、噛み合わせを細かく調整して治療は完了です。

STEP⑧定期メンテナンス

インプラントを長くお使いいただくためには、定期的なメンテナンスが欠かせません。
インプラントは虫歯にはなりませんが、「インプラント周囲炎」を発症する恐れがあります。インプラント周囲炎が進行すると、最悪の場合インプラントが抜け落ちてしまいます。

インプラント治療「よくある質問」

インプラント治療は痛みを伴いますか?
インプラントの埋入手術では、局所麻酔を施すため、施術中に痛みを感じることはほとんどありません

痛みや手術に対して強い不安を感じる患者さんへは、「静脈内鎮静法」をご提案しています。この方法では、鎮静薬を点滴することで、まるでうたた寝をしているような状態で治療を受けていただけます。これにより、痛みや不安が大幅に軽減され、より安心して治療を進められます。
治療費用はどのくらいですか?
インプラント治療にかかる費用は、患者さんの口腔内の状態や治療の範囲、使用するインプラントの本数によって変わります。通常、インプラント治療は健康保険の適用外であるため、他の補綴(ほてつ)治療と比べて費用が高くなることが一般的です。

当院では、クレジットカードデンタルローンを利用したお支払いもご用意しています。カウンセリング時には、お支払い方法についても詳しくお話しできますので、何かご不明な点がございましたら、遠慮なくご相談ください。
何歳から治療を受けられますか?
インプラント治療は、顎の骨に人工の歯根を埋め込むことで行われます。まだ骨が完全に成長していない10代の方には適していないため、施術は控えています。ただし、通常20歳前後で顎の成長が止まるため、それ以降であれば年齢に制限はありません
どんなリスクがありますか?
インプラント治療では、インプラントを適切な位置や角度、深さで埋め込まないと、問題が生じることがあります。また、上顎の副鼻腔や下顎の重要な血管、神経を損傷する可能性もあります。

当院では、こうしたリスクをできる限り軽減するために、治療を開始する前にCTスキャンなどを用いた詳細な検査を行っています。さらに、専用のシミュレーションソフトを利用し、インプラントの埋入位置や方向、深さなどの手術プランを慎重に作成しています。
手術後に仕事や学校の休みは必要ですか?
多くの患者さんは、手術の当日から通常の生活に戻れます。1〜3本程度のインプラント埋入の場合は、1時間程度で手術が終わるため、お仕事の昼休み中に手術を受ける方もいらっしゃいます。ただし、手術の当日は、激しい運動を控えるほうがよいでしょう。

オールオン4の手術や、静脈内鎮静法を用いた手術の場合でも、翌日には通常の生活に戻れます。
タバコは治療にどのような影響を与えるのでしょうか?
喫煙はインプラント治療において多くの悪影響を及ぼすことが知られています。特に、治療の成功率やインプラントの長期的な安定性が損なわれる可能性があります。

タバコに含まれるニコチンは、血管を収縮させる働きがあります。血流が不足して抵抗力が弱まり、感染のリスクを高める要因になりかねません。また、傷の治癒などが遅くなることもあります。インプラント治療を検討される場合、可能な限り禁煙をおすすめします

初診「個別」相談へのご案内

当院では、患者さんが抱えていらっしゃるお口のお悩みや疑問・不安などにお応えする機会を設けております。どんなことでも構いませんので、私たちにお話ししていただけたらと思います。
ご興味がある方は下記からお問い合わせください。

あまファースト歯科

WEB予約

電話予約

LINE相談

ACCESS

名古屋駅前
ファースト歯科・矯正歯科

名古屋駅前ファースト歯科

〒453-0015
愛知県名古屋市中村区椿町15番10号

診療時間
10:00 ~ 13:30/
14:30 ~ 19:30/
  • ▲土曜は午後14:30-18:00
  • ★祝日休診する場合あり

あまファースト歯科

あまファースト歯科

〒490-1137
愛知県海部郡大治町堀之内大堀170-3

診療時間
10:00 ~ 13:00/
14:30 ~ 19:30/
  • ▲土曜は午後14:30-18:00
  • ★祝日休診する場合あり