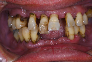
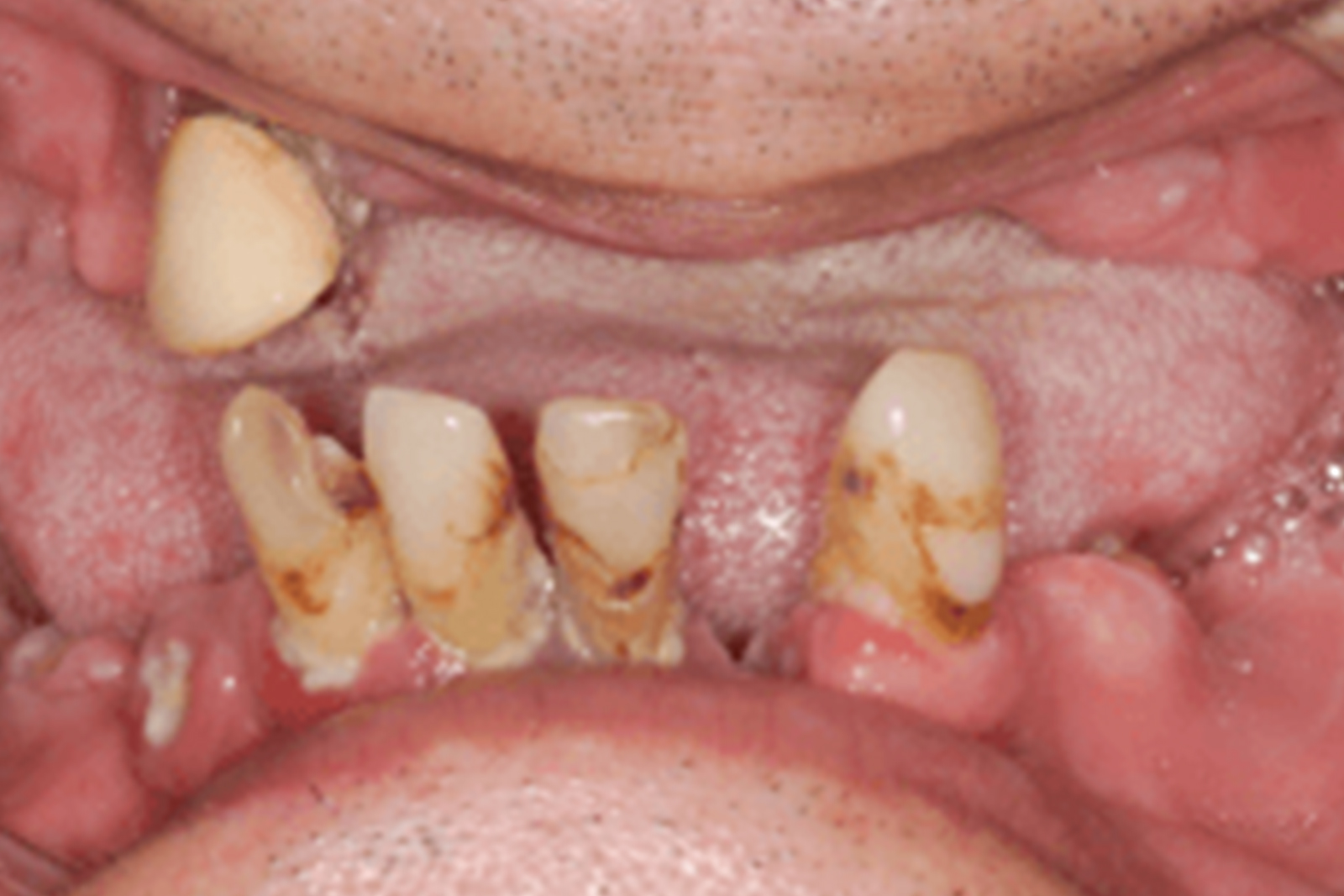
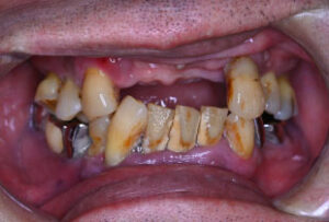
「虫歯/歯周病」で歯がボロボロ

WEB予約

電話予約

LINE相談

WEB予約

電話予約

LINE相談

キービジュアル

ボロボロの歯
たった1日
蘇らせます

✅歯科恐怖症の方
✅歯医者にトラウマをお持ちの方

まずはお話しから始めましょう。
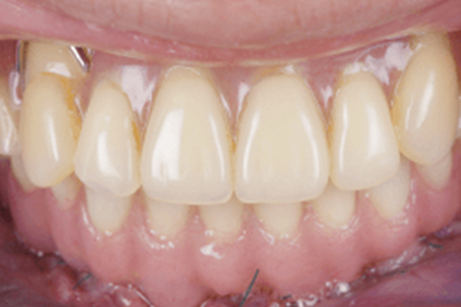
  • 治療前
  • 治療後
  • 治療前
  • 治療後
  • 治療前
  • 治療後

「痛い」「怖い」歯医者のイメージを払拭

●笑顔に自信が持てない
●上手く発音ができない
●食事が楽しめない

虫歯や歯周病を長期間放置してしまった結果、こうしたお悩みを抱えている方は多いです。しかし、放置してしまった理由は単なる怠惰によるものだけとは限りません。
過去の歯医者でのトラウマから、歯科治療に不安や不信感を抱いていおり、通院できずにいたということはありませんか?

当院では、そのような患者さんの気持ちに配慮し、痛みや不安の軽減に努めた環境づくりを大切にしています。納得いただいたうえで治療を進められるよう、丁寧な説明選択肢の提示を徹底しています。

ここからは、当院が具体的に取り組んでいる体制についてご紹介します。

「オールオン4」でお口の悩みを一気に解消

オールオン4All-on-4)」は、上顎または下顎に4本のインプラントを埋入し、その上に12本すべてが一体となった人工歯を固定する治療法です。歯列全体がしっかり固定されるため、外れる心配もほとんどなく、噛む力の回復見た目の改善がいっぺんに達成されます。
虫歯や歯周病で歯を大きく失っている方や、総入れ歯を使用している方などに非常に有効です。

具体的に、オールオン4には次のようなメリットがあります。
?歯がボロボロの状態から一気に改善
?手術は1回きりで完了
?しっかり固定されてよく噛める
?通常インプラントより費用を抑えられる
オールオン4は、1回の手術で完了し、その日のうちに仮歯を装着できるため、すぐに見た目も噛む機能も改善されます。生活の質が一気に向上することは間違いありません。この治療を受けた方は、「毎日の生活が一変した」「もっと早くすべきだった」とおっしゃられます。

ただし、オールオン4の手術には、高度な技術と整った設備が不可欠です。すべての医院でも対応できるわけではありません当院では万全の体制を整えておりますので、安心してご来院ください。オールオン4治療に関して、詳しくはこちらをご覧ください。

「安心」して任せられる治療体制

「歯医者に苦手意識が強い」という方にとって、その最大の理由は治療時の「痛み」や「恐怖」だと思います。また、いつになっても治療が終わらないという疑念もあるかもしれません。

当院では、患者さんにそういった不安を抱かせないため、次のような体制を整えております。

静脈内鎮静法(睡眠無痛治療)

オールオン4の手術を行う際に「静脈内鎮静法睡眠無痛治療)」を選ぶことができます。静脈に麻酔液を点滴で注入すると、ほどなくして眠りに近い状態になり、治療中の痛みや振動、機器の音を感じることはありません。目が覚めると、手術はすでに終了しています。
特に、歯科恐怖症嘔吐反射が強い方に向いている治療法です。

また、当院には日本歯科麻酔学会認定医」の歯科麻酔科医師が在籍しておりますので、安心して受けていただけます。

インプラント専任カウンセラー

当院では、インプラント治療に精通したスタッフが集結し、チーム医療の体制で治療に臨んでいます。特に、治療や手術に対して不安や疑問がある場合は、インプラントの「専任カウンセラー」をなんでもご相談ください。

もちろん、担当医師らも親身に対応いたします。それに加えて専任カウンセラーがいることによって、手術前の緊張や、医師に直接話しづらいことなどを解消し、より大きな安心感を持っていただけます。

院長から患者さんへのメッセージ

虫歯や歯周病を放置すると、治療がより複雑になり、身体的・経済的な負担も大きくなります。そのことは、多くの方が理解されているはずです。

それでも歯医者から足が遠のいてしまう背景には、過去のつらい経験がある場合も少なくありません。

?歯医者の治療で強い痛みを経験した
?十分な説明がないまま歯を抜かれた
?想定を上回る高額な治療費を請求された
?厳しく指摘されて傷ついた

こうした経験があれば、歯科治療に不安や抵抗を感じるのは当然のことです。
当院では、患者さんの理解納得、そして同意を得たうえで治療を進めることを徹底しています。また、ご満足いただける結果を目指し、診査・診断から治療計画の立案まで責任をもって対応します。どのような状態であっても、改善に向けた方法を一緒に検討します。

歯の状態に悩み、「生活の質を高めたい」「今の自分を変えたい」とお考えの方は、オールオン4という選択肢もご検討ください。当院では、身体的負担や費用面も踏まえたうえで、患者さん一人ひとりに適した治療計画をご提案いたします。まずはお気軽にご相談ください。

東海地方トップクラスの体制を整えています!

まずは当院の実績をご覧ください

インプラント治療は外科処置を伴うので、決して簡単な治療ではありません。そのため、信頼できる歯科医院での治療が大切になります。「良い医院」の定義は様々だと思いますが、「実績」は1つの指標になります。

✅累計5000本以上の実績
✅年間800本以上の実績
✅成功率99.9%

国際口腔インプラント学会「認定医」2名在籍!

当院ではインプラントスペシャリストに与えられる「国際口腔インプラント学会認定医」が2名在籍しています。すべてのインプラント/オールオン4治療はこの2名の監修のもと実施されます。

世界的な歯科グループ「マロデンタル」と連携

オールオン4は、世界的な歯科医療グループであるマロ・デンタルの創設者、パウロ・マロ医師によって開発された治療法です。当院は、そのマロ・デンタルグループの一員として認定されています。

マロ・デンタルグループには、どの歯科医院でも加盟できるわけではありません。加盟には、All-on-4を開発したパウロ・マロ医師からの正式な推薦が必要となります。その審査基準は非常に厳しく、All-on-4やインプラント治療における豊富な実績、確かな技術力、充実した設備環境はもちろん、担当医の人間性や治療理念まで含めて総合的に評価されます。

つまり、マロ・デンタルグループへの加盟は、世界水準のオールオン4治療を提供できる医院であると認められた証でもあります。

要望に応じた柔軟な「料金プラン」

インプラントやオールオン4はどうしても治療費が高くなりますが、当院では「価格重視」の患者さん向けのプランもご用意しています。もちろん品質は問題ありません。インプラントメーカーの違いや上部構造の素材の違いにより価格のラインナップを設けています。

大学病院レベルの「オペ環境」

当院は、大学病院に匹敵するレベルのオペ環境を整えています。
✅専用オペ室
✅CT
✅シミュレーション環境
✅治癒促進の酸素室
✅院内技工室
✅ヨーロッパ基準の滅菌体制 などなど

これらの体制は当院の治療成功率を高く維持できている理由の一つです。

安心の「10年保証」

当院では、インプラント治療に対して10年間の保証制度を設けています。埋入したインプラントが10年以内に抜けてしまった場合には、無償で責任をもって再埋入いたします。インプラントは純チタン製のため、折れたり欠損したりすることはほとんどありませんが、万一トラブルが生じた場合にも、安心していただける体制を整えています。詳細はお問合せください。

初診「個別」相談へのご案内

当院では、患者さんが抱えていらっしゃるお口のお悩みや疑問・不安などにお応えする機会を設けております。どんなことでも構いませんので、私たちにお話ししていただけたらと思います。
ご興味がある方は下記からお問い合わせください。

あまファースト歯科

WEB予約

電話予約

LINE相談

ACCESS

名古屋駅前
ファースト歯科・矯正歯科

名古屋駅前ファースト歯科

〒453-0015
愛知県名古屋市中村区椿町15番10号

診療時間
10:00 ~ 13:30/
14:30 ~ 19:30/
  • ▲土曜は午後14:30-18:00
  • ★祝日休診する場合あり

あまファースト歯科

あまファースト歯科

〒490-1137
愛知県海部郡大治町堀之内大堀170-3

診療時間
10:00 ~ 13:00/
14:30 ~ 19:30/
  • ▲土曜は午後14:30-18:00
  • ★祝日休診する場合あり