オールオン4とは

WEB予約

電話予約

LINE相談

WEB予約

電話予約

LINE相談

キービジュアル
東海地方でトップクラスの実績

All-on-4
160万円(税込176万円)

下記の方はぜひ当院にご相談ください
  • 今の総入れ歯が合わない
  • 歯がボロボロでほとんど残っていない
  • 噛める歯を今すぐにでも手に入れたい
  • All-on-4を他院で失敗してしまった

当院は「マロ・デンタルグループ」の一員です

オールオン4は世界的歯科医療グループであるマロ・デンタルのパウロ・マロ医師によって開発されました。当院はこのマログループの一員になっています。

マロ・デンタルグループには、すべての歯科医院が加盟できるわけではありません。加盟には、創設者でありAll-on-4を開発したDr.パウロ・マロからの推薦が必要です。その基準は厳しく、All-on-4やインプラントの豊富な治療実績、高度な技術力、充実した医療設備はもちろん、担当医の人間性や理念まで総合的に審査されます。

つまり、マロ・デンタルグループへの加盟は、世界水準のオールオン4を提供できると認められた証でもあります。

また、All-on-4を開発したマログループと提携していることで、世界中の膨大な症例データや最新の治療情報を共有することが可能になります。

その知見をもとに、科学的根拠に基づいた安全性の高い治療を、患者さまへ還元できることが大きな強みです。

「All-on-4」はお口の状態を劇的に変える治療法です

歯をほとんど失ってしまった方や重度の損傷がある方、また総入れ歯をご使用中の方に向けた治療法が、オールオン4(All-on-4)です。わずか4本のインプラントで片顎12本の人工歯を支えることができます。手術当日から自然な見た目としっかり噛める力を取り戻すことが可能です。
※症例によっては、6本のインプラントが必要となる場合もあります。

また、従来のインプラント治療のように、歯の本数分のインプラントを埋入する必要がないのがオールオン4の特長です。
そのため、費用を抑えられるだけでなく、手術による身体的な負担も軽減できます。総入れ歯が合わずにお困りの方にとって、オールオン4はまさに画期的な選択肢となるでしょう。

以下に、具体的なメリットをご紹介いたします。

メリット①4〜6本のインプラントを埋め込むだけで、手術は1回で済みます!

少ない本数のインプラントで全ての歯を支えられるのがオールオン4です。一般的なインプラント治療では、失った歯の本数分だけ埋入が必要となるため、治療期間が長引き、費用も高額になりやすい傾向があります。その結果、手術の回数も増え、患者様にとって精神的・身体的な負担が大きくなります。

オールオン4では、片顎に4本(症例によっては6本)のインプラントを埋入するだけで治療が完了します。少数のインプラントで歯列全体をしっかり支えられるため、治療期間を大幅に短縮でき、費用面の負担も抑えられます。さらに、手術が1回で済むことで、患者様の身体的・精神的な負担も大きく軽減されます。

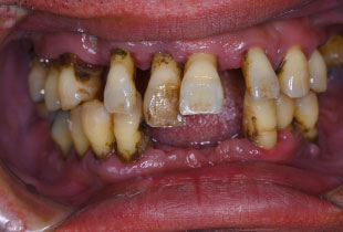
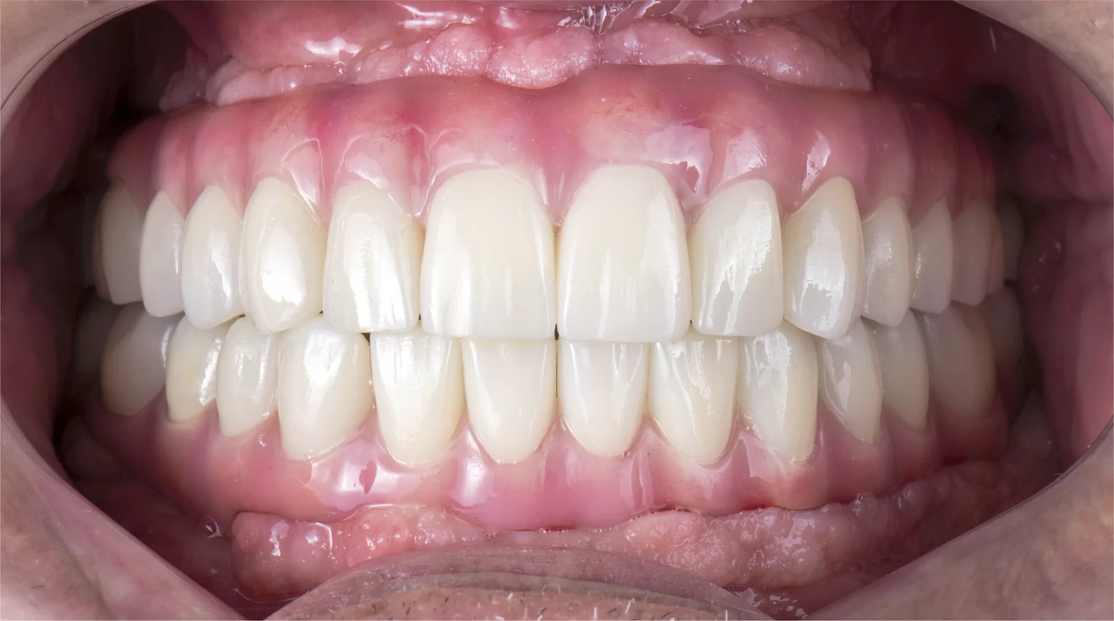
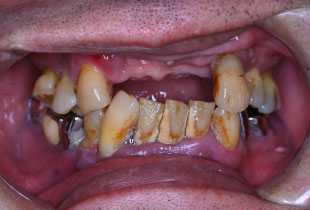
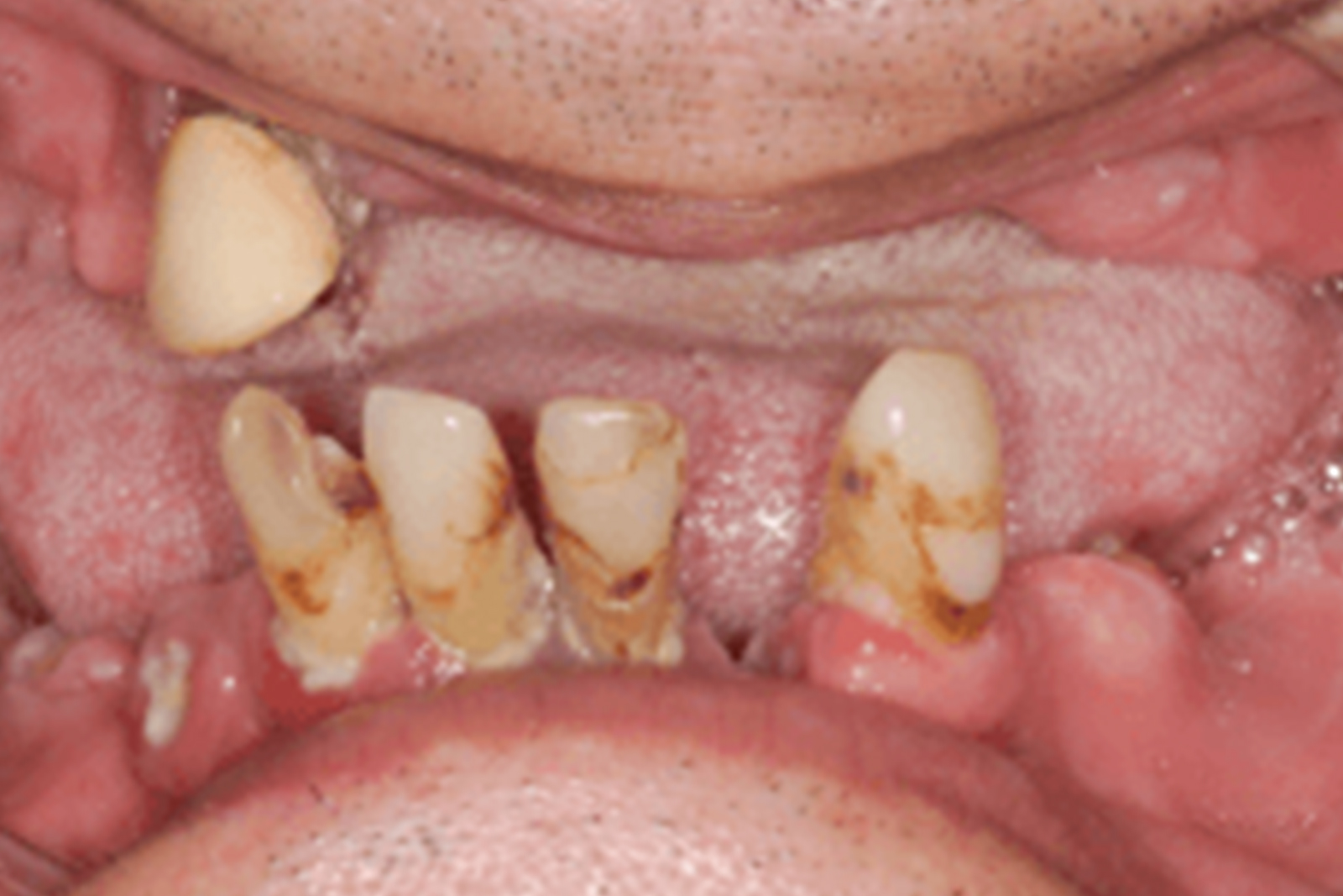
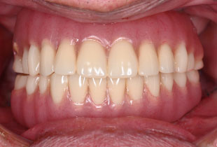
メリット②「即日」で噛めるお口に

  • 治療前
  • 治療後

わずか1日で、整った美しい歯並びとしっかり噛める歯を取り戻せます。

手術当日に新しい歯を装着し、すぐに噛めるようになる点もオールオン4のメリットです。

一般的な治療では、治療当日に噛む機能まで回復させることは容易ではありません。しかしオールオン4であれば、手術当日から噛む力を取り戻し、美しい見た目も同時に手に入れることが可能です。
その結果、日常生活の質が大きく向上し、食事を楽しむ喜びを再び実感できるようになります。

片顎のすべての歯を失った場合を想定し、「オールオン4」と「通常のインプラント治療」を比較した表を以下に示します。
通常のインプラント
オールオン4
歯列全体を治療する際の埋入本数
14本
4本 or 6本
治療期間
個人差はあるが数年かかる場合も
3か月~6か月
歯がない期間
生じることもある
なし
※手術当日に歯が入る
オペ回数
1回〜複数回
1回

メリット③治療費を抑えられる

オールオン4は大幅に費用を抑えることが可能です。歯の状態が著しく悪化しているケースでは、インプラントや矯正、歯周外科手術、さらには審美セラミック治療などを組み合わせた「総合治療」が必要とされてきました。その結果、治療費は高額になりやすく、期間も数年に及ぶことが少なくありませんでした。

一方でオールオン4は「オールインワン」の治療パッケージのように、一度の手術でお口の状態を改善することができます。複数の治療を組み合わせる必要がないため、従来の総合治療と比べて治療費を大幅に抑えることができます。さらに、手術回数が少なく済むことで治療期間も短縮され、患者様の身体的・時間的な負担も軽減されます。
総合治療
オールオン4
治療期間
数年
3か月~6か月
治療期間
400万円以上かかることが多い
※矯正やインプラント、歯周外科等の総合的な治療を行うため
160万円(税別)〜
※当院の場合
患者さんの肉体的負担
非常に大きい
※さまざまな治療を施すため
1回のオペのみ
患者さんの精神的負担
非常に大きい
※さまざまな治療を施すため
1回のオペのみ

日本口腔インプラント学会「認定医」が治療を担当

竜 康弘

竜 康弘

経歴

国立東北大学 卒業
東北大学卒後研修センター

資格・所属学会・団体

  • 日本口腔インプラント学会 認定医
  • 日本先進インプラント医療学会
  • 歯科医師臨床研修指導歯科医
  • 日本臨床歯周病学会
  • 日本顎咬合学会
  • 日本矯正歯科学会
  • インビザライン矯正認定医

阪本 晃多

阪本 晃多

経歴

朝日大学歯学部 卒業
愛知学院大学歯学部附属病院 臨床研修医

資格・所属学会・団体

  • 日本口腔インプラント学会 認定医
  • 歯科医師臨床研修指導歯科医

特徴歯科麻酔認定医による静脈内鎮静法

患者様の安心と快適さを最優先に考え、インプラント手術の際には、日本歯科麻酔学会認定医の佐橋倫恵先生による「静脈内鎮静法」を導入しています。

オールオン4のデメリット・リスク

従来のインプラント治療と比較して、多くのメリットを持つのがオールオン4です。一方で、いくつかのデメリットやリスクが存在する点も理解しておく必要があります。

オールオン4を検討する際に押さえておきたい重要なポイントについて詳しく解説いたします。

オールオン4のデメリット

デメリット①残っている歯の「抜歯」が必要

歯をほとんど失っている方や、機能が著しく低下した歯が多い方に適しているのがオールオン4です。そのため、口腔内に健康な歯が残っている場合には、治療のために抜歯が必要になります。

できる限り自分の歯を残したいと考える患者様もいらっしゃるでしょう。その場合は、オールオン4以外の治療法も含めて検討することが重要です。

デメリット②担当医の技術力が治療結果を左右する

担当医の経験技術力が、治療後の仕上がりを大きく左右します。とりわけ、仕上がりの審美性や耐久性は、医師の技量によって大きな差が生まれます。
■審美性
審美性を重視する歯科治療では、治療後の口元がどのように見えるかが重要です。
とくに素材選びは仕上がりを大きく左右し、「レジン」は「ジルコニア」と比べると審美性で劣る傾向があります。さらに、レジンは経年によって変色しやすく、長期間の使用で見た目が損なわれる可能性もあります。

また、オールオン4では「歯肉部分」も人工的に再現するため、その仕上がりが全体の美しさにも影響してきます。
■耐久性
耐久性とは、長期間にわたって安定して機能し続けるかどうかを指します。オールオン4を行う前に歯周病治療が不十分な場合、歯周病に似た「インプラント周囲炎」を発症するリスクが高まります。このインプラント周囲炎が進行するとインプラントが不安定となり、最悪の場合は脱落してしまう恐れがあります。

耐久性を左右する要素として、噛み合わせも重要です。噛み合わせの設計が不適切な場合、一部のインプラントに負担が集中し、オールオン4の装置が破損するリスクがあります。

オールオン4のリスク

「オールオン4」は、外科的手術を伴う治療法です。そのため、治療を選択する際は、いくつかのリスクがあることも理解しておきましょう。

リスク①喫煙や飲酒が及ぼす影響

治療の結果を左右する要因として、喫煙飲酒の習慣が挙げられます。とくに喫煙は血流を悪化させ、傷の治癒を遅らせる原因となります。

さらに飲酒も、術後の炎症を悪化させる恐れがあるため、手術の前後は控えることが望ましいでしょう。
生活習慣を見直して適切に管理することで、治療の成功率を高めることにつながります。

リスク②手術後に起こる痛みと腫れ

手術後は、痛み腫れが出る場合があります。外科処置に伴う反応として、ある程度は一般的な症状です。症状を和らげるためにも、処方された鎮痛剤は指示どおりに服用してください。腫れを抑える方法として、患部を冷やすことも有効です

ただし、痛みや腫れが長引く場合や異常を感じた場合は、早めに医師へご相談ください。

リスク③処方薬による副作用

治療後には、鎮痛剤抗生物質などの薬が処方されることがあります。これらの薬には眠気や吐き気といった副作用が生じる可能性があるため、十分に注意が必要です。服用する際は、医師の指示を守ることが大切です。

とくに運転や機械の操作は控え、慎重に行動してください。万が一、副作用が強く出たり体調に異変を感じたりした場合は、速やかに医師へご相談ください。

リスク④術後に生じる痣(あざ)について

手術後には、顔や顎の周囲に痣(あざ)が出ることがあります。内出血によって生じる症状であり、多くの場合は約2週間ほどで自然に消えていきます。痣が消えるまでの間は、保冷剤などで患部を冷やし、腫れを抑えると効果的です。

ただし、痣が長期間残る場合や広がる場合には、早めに医師へご相談ください。

リスク⑤手術当日に仮歯を装着できない場合がある

通常、オールオン4では手術当日に仮歯を装着することを前提としています。ただし、骨の状態によっては当日に仮歯を装着できない場合もあります。とくに骨の量や強度が不足しているケースではこのような状況が生じ、治療計画の見直しが必要になることがあります。

そのため、予定通りに進まない可能性も踏まえ、事前に医師と相談しておくことが大切です。

当院が提供するオールオン4の特長

全国でもトップクラスの品質と豊富な実績を有しているのが、当院のオールオン4治療です。以下に、当院ならではの特長をご紹介いたします。

特長① 信頼性の高いメーカーと最上級の材料を使用

患者様の体の一部となるインプラントだからこそ、品質に妥協はいたしません。最高の治療をご提供するため、当院では常に最上級の材料と信頼性の高いメーカーを厳選しております。

とりわけオールオン4のような高度なインプラント治療では、世界的に評価の高いメーカー製品を採用しています。
  • ストローマン
  • ノーベルバイオケア
詳しくは、インプラントのページもご覧ください。

特長② 高品質な治療を手頃な価格で提供

最高水準の材料と高度な技術を用いた治療をご提供しております。一方で、一般的にはこうした治療は高額になりやすい傾向があります。だからこそ当院では、できる限り患者さんのご負担を抑えた価格設定で高品質な治療をお届けすることを重視しています。

たとえば、オールオン4は片顎160万円(税別)からご利用いただけます。さらに、デンタルローンをご活用いただくことで、経済的な負担を軽減しながら質の高い治療を受けていただくことが可能です。

特徴③ 院内技工室を完備

上部構造を院内で製作できるよう、当院では専用の技工室を完備しています。インプラント治療に特化した診療体制を整えることで、スピーディーかつ高品質なオールオン4の提供が可能です。

特徴④ 大学病院レベルのオペ室

大学病院レベルのオペ室で手術をします。オペ室は完全個室でオペ用ライト(無影灯)も完備しています。加えて、世界最高水準のクラスB滅菌器を使用し、診療器具を徹底的に滅菌しています。

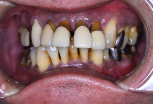
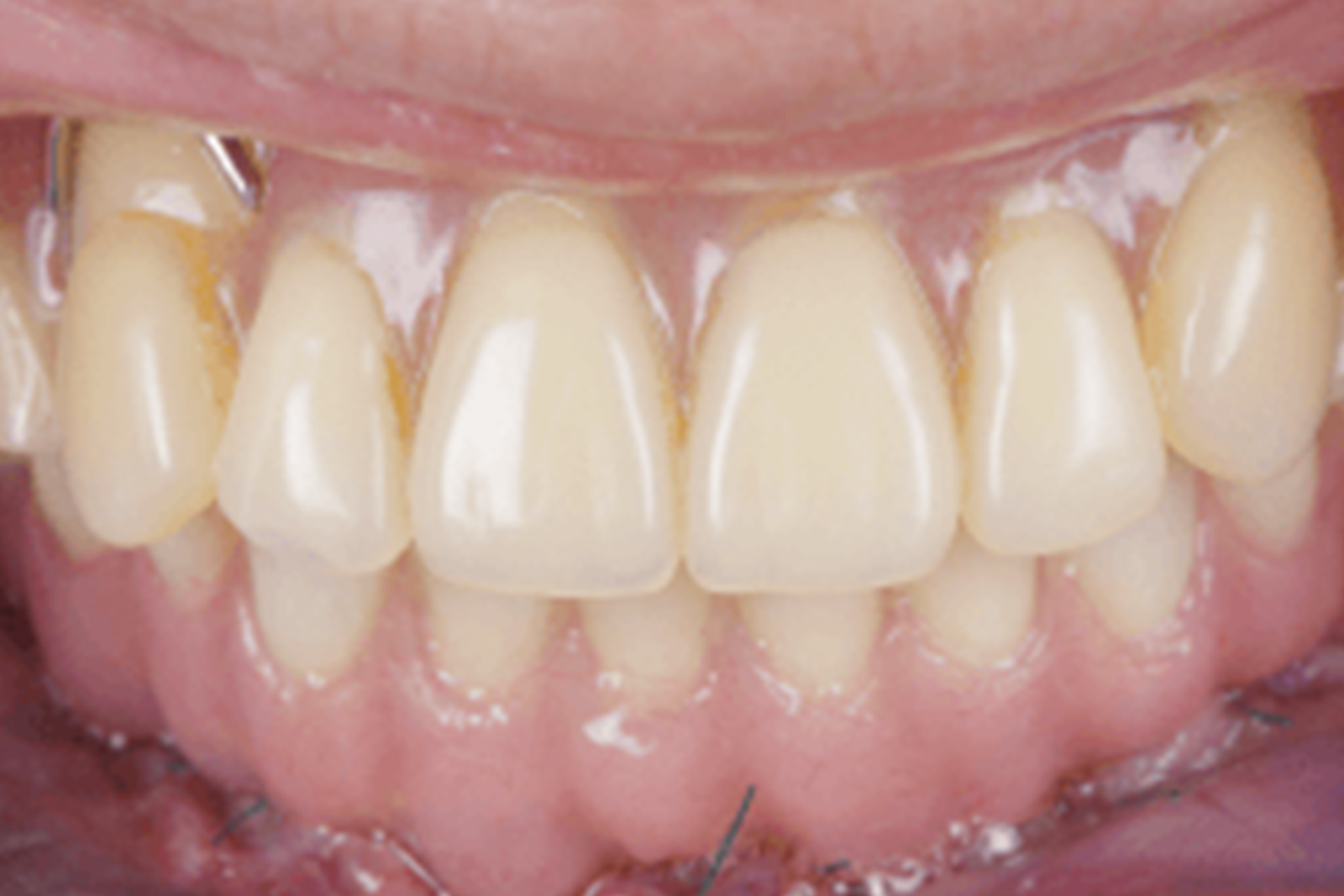
オールオン4の症例集

CASE①

  • 治療前
  • 治療後

CASE②

  • 治療前
  • 治療後

CASE③

  • 治療前
  • 治療後

オールオン4治療の流れ

ステップ①カウンセリング

治療を始める前に、まず患者様とのカウンセリングを行い、丁寧にお話をお伺いします。

インプラントやオールオン4治療に関するご希望やご不安、疑問点がございましたら、どうぞお気軽にお聞かせください。些細なことでも構いませんので、遠慮なくご質問ください。

ステップ②精密検査

口腔内の状態を詳細に検査し、現状を確認します。あわせてレントゲンやCT検査を実施し、骨の状態についても詳しくチェックします。

ステップ③診断結果と治療計画のご案内

検査結果をもとに、最適な治療計画を作成いたします。治療内容については、十分にご理解・ご納得いただけるよう、わかりやすく丁寧にご説明いたします。
そのうえで同意をいただいてから、治療を開始いたします。

ステップ④インプラント手術と仮歯の設置

治療計画に沿って、インプラントの埋入手術を行います。手術に不安を感じる方には、「睡眠無痛治療(静脈内鎮静法)」のご利用も可能ですので、遠慮なくご相談ください。手術当日は仮歯を装着いたします。

ステップ⑤最終的な人工歯を取り付けます

骨とインプラントが十分に結合したことを確認したうえで、最終的な人工歯を装着します。

安心の10年保証

当院では、インプラント治療に対して10年間の保証制度を設けています。埋入したインプラントが10年以内に抜けてしまった場合には、無償で責任をもって再埋入いたします。インプラントは純チタン製のため、折れたり欠損したりすることはほとんどありませんが、万一トラブルが生じた場合にも、安心していただける体制を整えています。

保証条件について

以下の条件を満たす患者さんが保証対象となります。

最低でも半年に1回、定期検診を受けていること
保証期間は治療後10年間(※上部構造にハイブリッドセラミックを使用した場合は5年間)
保証対象はインプラント本体のみ

上部構造の保証について

上部構造の保証期間は、装着後5年間です。
ただし、破損やトラブルの原因が明らかに患者さんの不注意などによる場合は、実費での対応となります。
また、使用年数に応じて保証内容(医院負担の割合)が異なります。

1年以内:100%医院負担
1〜2年以内:80%医院負担
2〜3年以内:60%医院負担
3〜4年以内:40%医院負担
4〜5年以内:20%医院負担
5年以上:保証対象外(100%患者さん負担)

長期的に安心してインプラントをご使用いただくためには、定期的なメンテナンスが非常に重要です。治療後のサポート体制も含め、責任をもってフォローいたします。

オールオン4治療の「よくある質問」

骨が少ない場合でもオールオン4は可能ですか?
骨量が十分でないケースでも、オールオン4による治療は可能です。骨が比較的しっかり残っている部位を選んでインプラントを埋入するため、多くの場合は通常の骨造成手術を行わずに対応できます。

一方で、長年総入れ歯を使用していると、骨が大きく減少していることがあります。そのようなケースでは、骨造成が必要になる場合もあります。
歯が残っている場合でも、オールオン4治療は可能ですか?
歯が残っている状態であっても、オールオン4の治療を受けることは可能です。

その際には、まず精密な診査・診断を行い、個別カウンセリングを通じて本当に適した治療法かどうかを慎重に検討します。
十分にご納得いただいた場合のみ、手術当日に残存歯を抜歯し、そのままオールオン4の処置へ移行します。
オールオン4を上下同時に行うことは難しいですか?
オールオン4は、上下の顎を同時に手術することも可能です。その結果、通院回数や治療期間を短縮できるだけでなく、より理想的な噛み合わせや歯並びの実現につながります。さらに、手術が一度で済むことで、患者様の身体的な負担も軽減されます。
遠方からの通院でも治療を受けられますか?
遠方からも多くの患者さんにご来院いただいております。そのため、遠方よりお越しの方には通院回数をできるだけ減らせるよう、治療をまとめて進めるなどの工夫を行っています。さらに、ご負担を軽減できるよう効率的な治療スケジュールを組み、必要な処置をできる限り短期間で完了できるよう配慮しております。

初診「個別」相談へのご案内

当院では、患者さんが抱えていらっしゃるお口のお悩みや疑問・不安などにお応えする機会を設けております。どんなことでも構いませんので、私たちにお話ししていただけたらと思います。
ご興味がある方は下記からお問い合わせください。

あまファースト歯科

WEB予約

電話予約

LINE相談

ACCESS

名古屋駅前
ファースト歯科・矯正歯科

名古屋駅前ファースト歯科

〒453-0015
愛知県名古屋市中村区椿町15番10号

診療時間
10:00 ~ 13:30/
14:30 ~ 19:30/
  • ▲土曜は午後14:30-18:00
  • ★祝日休診する場合あり

あまファースト歯科

あまファースト歯科

〒490-1137
愛知県海部郡大治町堀之内大堀170-3

診療時間
10:00 ~ 13:00/
14:30 ~ 19:30/
  • ▲土曜は午後14:30-18:00
  • ★祝日休診する場合あり